Advanced Dental Implants in Colombia
U.S. patients needing full mouth rehabilitation are quoted $60k–$90k. There's a better way — premium standard, a fraction of the cost.
4,000+ Surgeries Completed
14+ years of experience
FDA-Cleared Titanium Implants Certified · 100+ countries
100% English Coordination · Start to finish
Implantology Exclusively · Not a general dentist
4,000+ Surgeries Completed ·
14+ years of experience
FDA-Cleared Titanium Implants Certified · 100+ countries
100% English Coordination · Start to finish
Modern clinical standards
Implantology Exclusively · Not a general dentist
Clinical Partner
The Specialist Behind Every Case
Dr. Otero specializes in implantology and full-arch restorations — 14+ years of experience, 4,000+ surgeries completed, using FDA-cleared titanium implants exclusively.
Curalink coordinates everything in English — from your first call to your return home.
Patient Success Stories
Real Results from International Implant Patients
EXCELLENT Based on 29 reviews Posted on RUTH DIAZTrustindex verifies that the original source of the review is Google. “Excelente odontólogo, con tecnología de punta para cuidar tu sonrisa con precisión y confianza.”Posted on Angelica NinoTrustindex verifies that the original source of the review is Google. En manos del mejor profesional, tecnología, versatilidad y calidez. Mi linda sonrisa gracias a ti. 100% recomendado.Posted on Raul Gonzalez CTrustindex verifies that the original source of the review is Google. Profesionalismo y calidad de servicioPosted on Luisa DuqueTrustindex verifies that the original source of the review is Google. Me realize una extracción de cordales y me encanto el servicio que recibí.Posted on secretaria saTrustindex verifies that the original source of the review is Google. ESPECTACULARPosted on Clara ines Gómez HerreraTrustindex verifies that the original source of the review is Google. Gran profesional, un ser humano excepcional,su trabajo es impecable con los más altos estándares de calidad. Gracias Doctor por su dedicación y buen humor.Lo quiero mucho.Posted on Jorge Mario Perilla PTrustindex verifies that the original source of the review is Google. El Dr. Otero, recomendado 100%. Me hice una cirugía de implantes dentales y la calidad y nivel muy solventes. Por la duración y estética de los resultados, los mejores materiales y mayor conocimiento que supe encontrar.Posted on Miller Q Art artistTrustindex verifies that the original source of the review is Google. I’m very happy with the results, and impressive how the doc Enjoy this work and I am can tell it is his passion, the all process was clear and súper profesional I really recommend them, thank you Super Jorge.Posted on Roberto mendozaTrustindex verifies that the original source of the review is Google. Doctor Otero and his staff was great. Very welcoming and friendly. He was very nice and informative. I call him Maspeth Dental — Doctor Otero made me feel right at home and as if I was a friend. He provided excellent service and I will be coming here for all my future dental needs!
Value Proposition
Advanced Implant Care, Designed for International Patients
Advanced Implant Solutions
Transparent, Personalized Estimates
Specialist-Led Care for International Patients
English-Speaking Care Coordination
Quality-First Patient Selection
The Destination
Why Patients Choose Colombia
Colombia is one of Latin America’s most established destinations for advanced implant care — with internationally trained specialists and clinical standards aligned with the US and Europe.
Dr. Otero’s clinic is inside Santa Ana Medical Center — a dedicated specialist building in Santa Bárbara, Usaquén, the same neighborhood as Fundación Santa Fe, one of Colombia’s most reputable medical institutions.
Our partner hotels are in Chicó and Zona Rosa — Bogotá’s most sought-after neighborhoods, surrounded by the city’s best restaurants, shops, and entertainment. Your stay is an experience in itself.
Curalink manages airport pickup, hotel, and all logistics in English — so you arrive, recover, and explore with complete peace of mind.
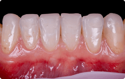
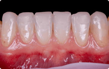
Advanced Full-Mouth & Implant Rehabilitation Solutions
Every procedure uses internationally certified, pure titanium implants — FDA-cleared and clinically proven to integrate naturally with bone.
The same material standard used in the US and Europe. Final treatment plan confirmed after specialist evaluation — personalized to your case, never generic.
The Process
How It Works
Submit Your Details
Case Review & Personalized Estimate
Confirmation Call (If needed)
Travel & Treatment Coordination
Treatment in Colombia
Follow-Up & Ongoing Support
Transparent, Case-Based Pricing
Common Questions
Frequently Asked Questions
Is it safe to get dental implants in Colombia?
How long do I need to stay in Colombia?
Will someone assist me in English?
Do you provide medical advice or make clinical decisions?
Can you help with lodging and transportation?
Am I a good candidate for implant treatment abroad?
The Get Started
Your Personalized Implant Evaluation
